Browse our before/after gallery and case studies to see real treatment outcomes across a range of procedures. Each case highlights the difference expert care can make, showing improvements in both function and aesthetics while reflecting our commitment to high-quality results.
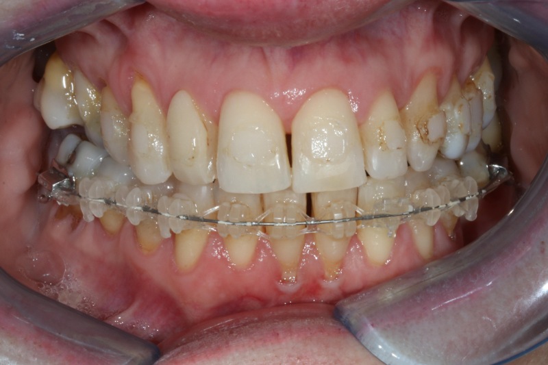
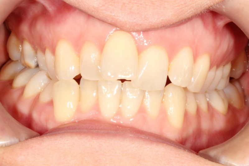
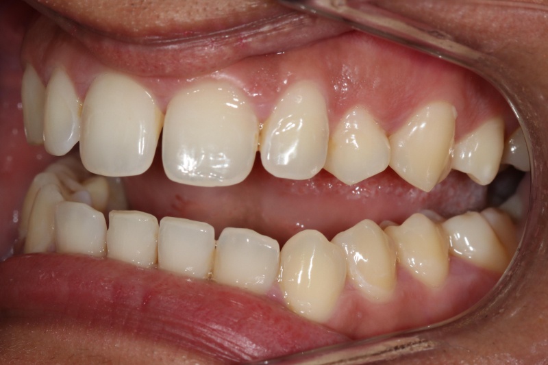
This page showcases a selection of our teeth straightening cases, including treatments using Invisalign, clear aligners, and fixed braces. Each case is carefully planned to correct misalignment, close gaps, and improve overall function. We focus on discreet, minimally invasive methods to achieve precise, long-lasting results with optimal comfort.
This gallery showcases the results of teeth straightening treatments, including Invisalign, clear aligners, and fixed braces. Each transformation improves alignment, closes gaps, and enhances symmetry, delivering permanent natural-looking results.


















This case shows how Invisalign clear aligners can straighten teeth, improve shade, and enhance overall balance. The result is a cleaner, brighter smile with improved function and aesthetics, contributing to long-term dental health and patient confidence.
This case involved Invisalign Lite Dual Arch to correct central teeth misalignment. Treatment focused on improving symmetry and overall balance. The result is a straighter, more harmonious smile that supports both function and aesthetics while enhancing confidence.
This case was treated with Clear Dual Arch Aligners to correct overcrowding and close gaps. The treatment lasted approximately six months, resulting in improved alignment, better spacing, and a more balanced smile that supports long-term function.
This case used Dual Arch Invisalign to address gaps between teeth and overall misalignment. The treatment achieved a more even tooth position and closed visible spaces, creating a neater, more uniform smile with improved function and visual appeal.
This case was treated with Invisalign Double-Arch to correct teeth overcrowding. The aligners gradually created space and repositioned the teeth, resulting in a straighter, more comfortable bite and a well-aligned smile that supports both function and appearance.
This case was completed using Invisalign for both upper and lower arches to correct misalignment and close gaps. The treatment produced a more balanced tooth position, eliminated spacing issues, and delivered a cleaner, more aesthetically pleasing smile.
We provide personalised smile consultations and bespoke treatment plans. Contact us now to book your appointment and take the first step toward your dream smile.
Follow us on social media for updates, tips, and see the latest smile transformations.
You must be logged in to post a comment.