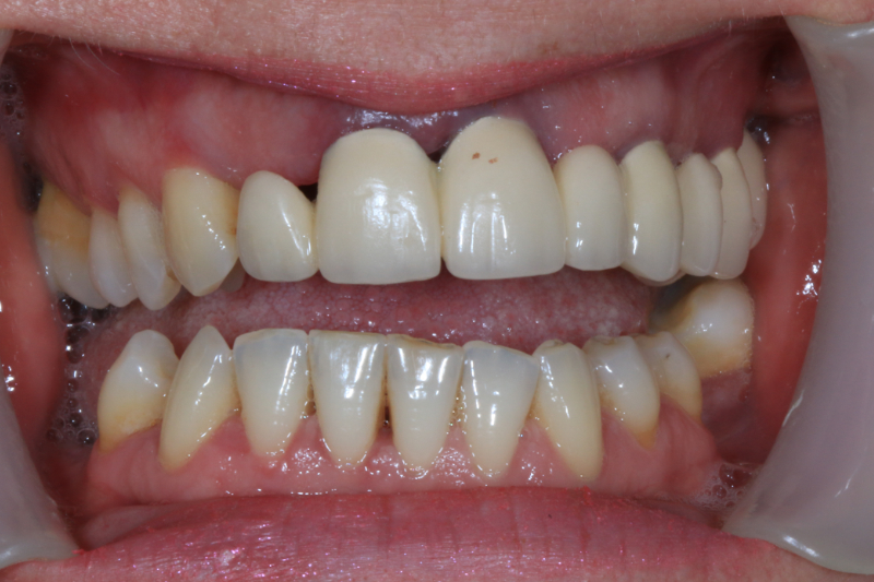
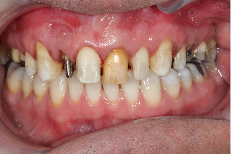
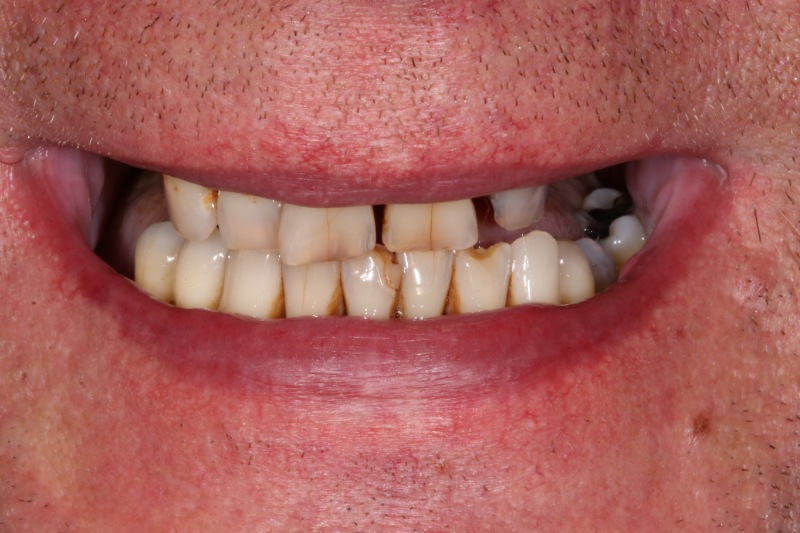
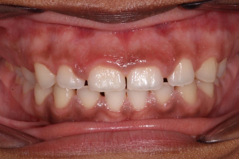
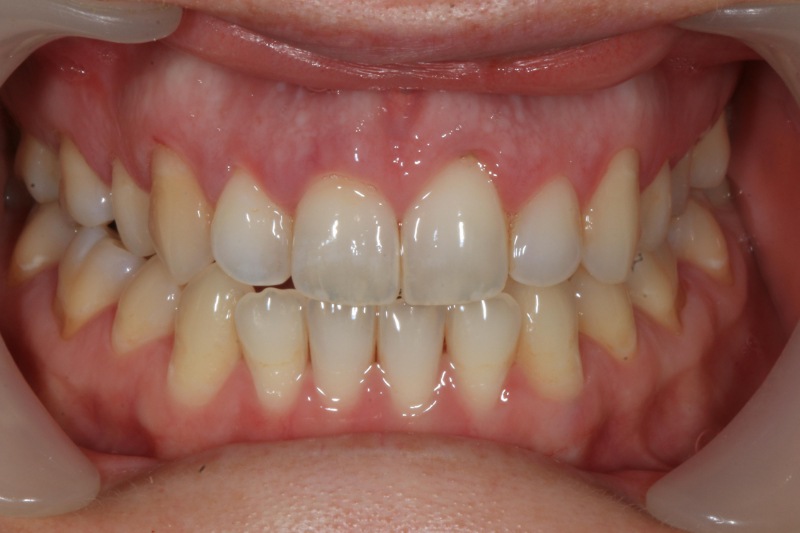
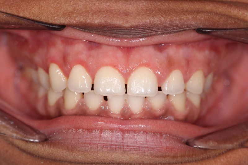
Explore our before and after gallery to witness smile transformations achieved by our specialists. Each image pair showcases precise treatment outcomes, enhanced aesthetics and confidence, highlighting our dedication to exceptional patient care.
Explore real patient case studies through compelling before-and-after images, illustrating our dedication to personalised, precision-driven dental care and exceptional outcomes.
Our expert ceramists craft bespoke porcelain veneers and crowns, designing each smile to harmonise proportions, enhance symmetry, and provide long-lasting, natural-looking dental aesthetics.






Using implantology techniques, we replace missing teeth and reconstruct full arches, restoring function, preserving bone structure, and providing durable prostheses for oral health and comfort.






Offering traditional braces and Invisalign aligners, we correct misaligned teeth with customised treatments, delivering discreet, comfortable alignment for improved function and confident smiles.






With Waterlase laser gum contouring, our specialists sculpt gingival tissue precisely, offering painless, stitch-free procedures that promote rapid healing, enhanced aesthetics, and improved smiles.



Composite bonding restores chips, gaps, and discolouration by applying shade-matched resin to teeth, offering a minimally invasive solution that enhances shape, colour, and smile aesthetics.



We provide personalised smile consultations and bespoke treatment plans. Contact us now to book your appointment and take the first step toward your dream smile.
Follow us on social media for updates, tips, and see the latest smile transformations.