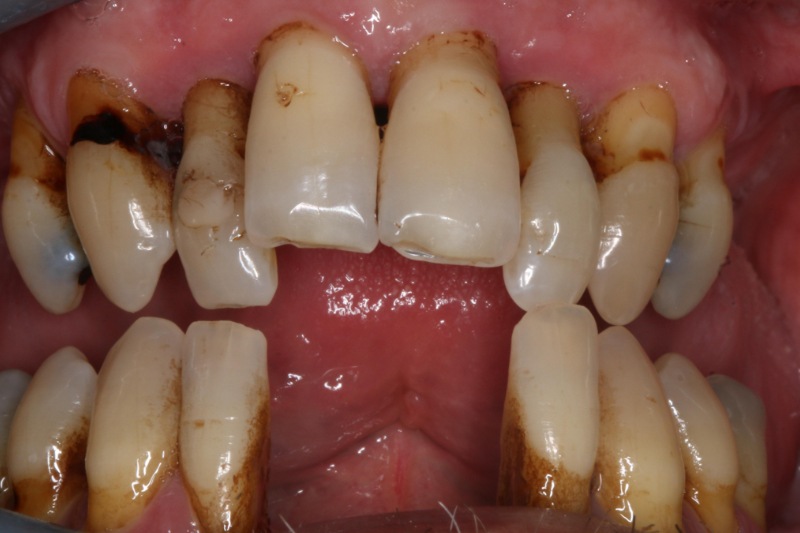
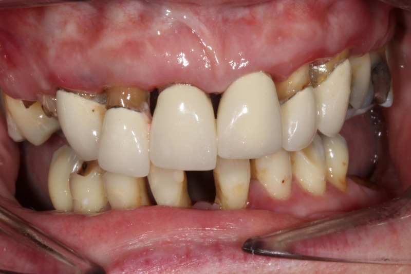
Browse our before/after gallery and case studies to see real treatment outcomes across a range of procedures. Each case highlights the difference expert care can make, showing improvements in both function and aesthetics while reflecting our commitment to high-quality results.
This page showcases a selection of our Full Mouth Restoration cases, including full arch dental implants and complex reconstructions. All implant crowns and bridges are designed with precision and tailored to each patient’s needs. We prioritise minimally invasive methods and preserve remaining natural structures wherever possible.
Our clinicians restore full arches using dental implants and custom bridges, rebuilding smiles to restore function, improve alignment, and achieve a natural-looking result tailored to each individual. Every case is carefully planned to ensure long-term durability and comfort.









We provide personalised smile consultations and bespoke treatment plans. Contact us now to book your appointment and take the first step toward your dream smile.
Follow us on social media for updates, tips, and see the latest smile transformations.