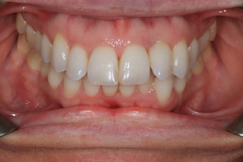
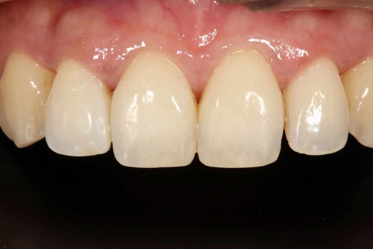
Browse our before/after gallery and case studies to see real treatment outcomes across a range of procedures. Each case highlights the difference expert care can make, showing improvements in both function and aesthetics while reflecting our commitment to high-quality results.
This page showcases a selection of our composite bonding cases, used to repair chips, close gaps, and reshape teeth. Each case is carefully planned to enhance symmetry and refine the overall appearance of the smile. We use minimally invasive techniques to achieve natural-looking, durable results with maximum comfort.
This gallery features a range of composite bonding cases, where small changes made a noticeable difference. From restoring worn edges to reshaping uneven teeth, each result shows how bonding can quickly enhance a smile’s appearance with minimal intervention and excellent aesthetic control.















We provide personalised smile consultations and bespoke treatment plans. Contact us now to book your appointment and take the first step toward your dream smile.
Follow us on social media for updates, tips, and see the latest smile transformations.